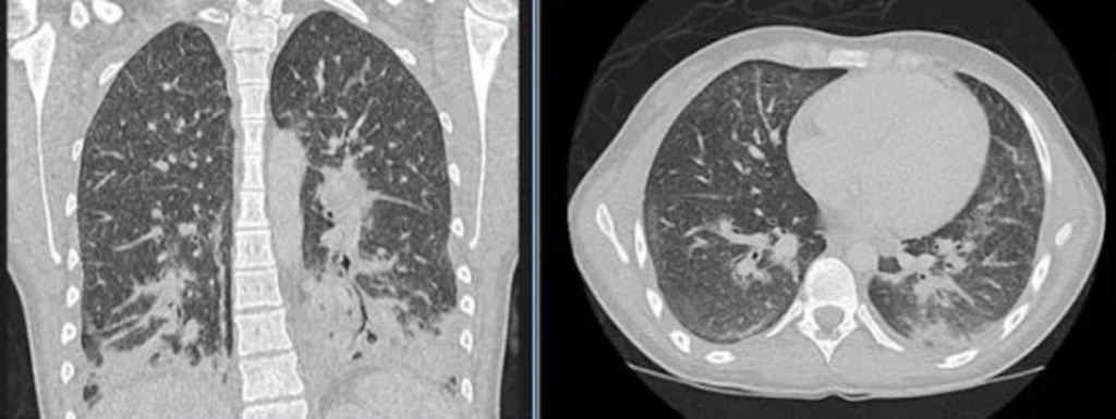
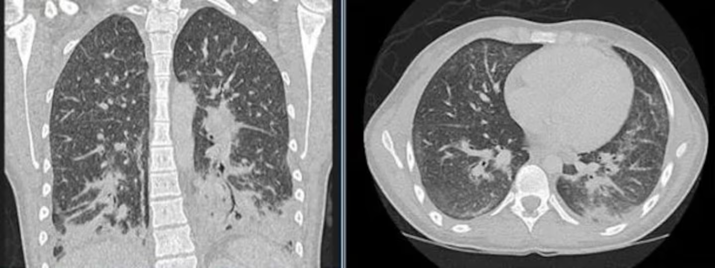
Una joven de Inglaterra tuvo que ser hospitalizada de urgencia tras una semana de intensa tos, escalofríos, fiebre alta y dificultad respiratoria. Al principio, los médicos creyeron que se trataba de neumonía bacteriana, pero al realizarle unas tomografías descubrieron que sus pulmones estaban llenos de “opacidades en vidrio esmerilado”, producto de haber usado el vaper de su novio durante un mes.
Normalmente, los pulmones sanos se ven negros en las radiografías y las tomografías computarizadas, pero en estas, gran parte se veía gris, lo cual indica que los sacos de aire de los pulmones podrían estar llenos de líquido u otras sustancias.
La joven llegó al hospital con un cuadro de dificultad respiratoria grave y fiebre muy alta, lo cual hizo creer a los médicos que podía tratarse de neumonía bacteriana o covid-19. Pero, luego de suministrarle antibióticos y notar que este no tenía ningún efecto, comenzaron a preocuparse.
Frente a esto, le consultaron si era fumadora, a lo que ella respondió que hacía un mes estaba usando el vaper de su novio. Ahí fue cuando todo comenzó a tener sentido y, teniendo en cuenta los resultados de la radiografía, pudieron indicar que la joven presentaba EVALI, término utilizado para describir una enfermedad respiratoria aguda causada por los efectos tóxicos de los químicos utilizados al vaper.

Según los médicos, la enfermedad producida por el cigarrillo electrónico se presenta como una enfermedad viral atípica, con dificultad para respirar, tos, dolor en el pecho y fiebre como síntomas más comunes.
Tras este diagnóstico, le suministraron esteroides, para mejorar los síntomas, y le aconsejaron que dejara de usar el vaper. A su vez, el grupo de salud mencionó las pruebas de un informe realizado hace 4 años sobre los efectos de este aparato en la salud. “Alrededor de 2600 pacientes fueron hospitalizados debido a EVALI en 2020, lo que señala el inicio de una pequeña epidemia de casos de EVALI en todo Estados Unidos”, dijeron los autores del informe.
También, revelaron que la mayoría de la gente que ingresa por esta afección suele requerir ingreso en la unidad de cuidados intensivos y respiración mecánica. Aunque, llevaron calma a la población y aseguraron que la mejoría es notable si se lo atiende a tiempo.
Según los expertos en salud pulmonar de Yale Medicine, la EVALI puede provocar los siguientes síntomas:
- Dificultad para respirar
- Tos
- Dolor en el pecho
- Fiebre y escalofríos
- Diarrea, náuseas, vómitos y dolor abdominal.
- Latidos rápidos
- Respiración rápida y superficial
